A - Metodo SPS
2 - Catene muscolari
3 - Eserzici
B - Diagnosi
1 - Ernia del disco
1 - Lombare
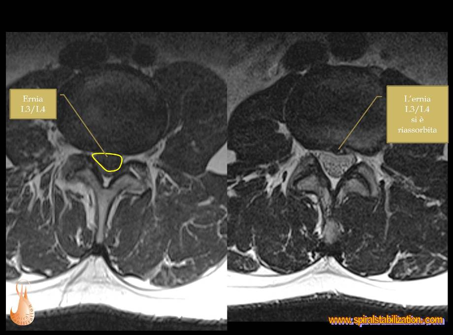
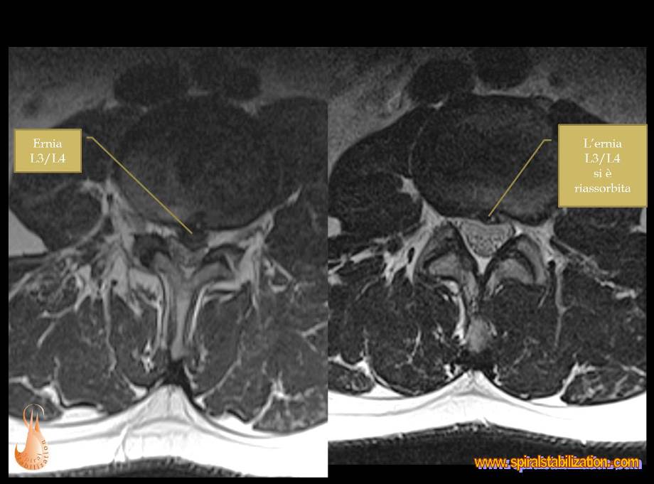
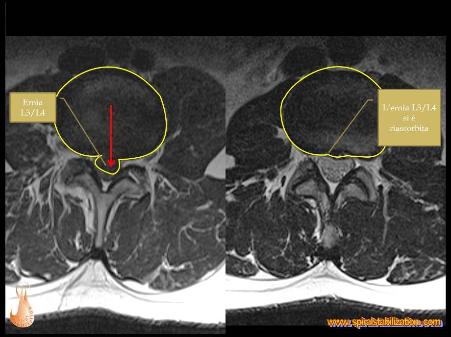
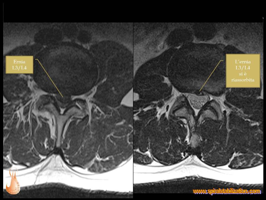
1 - Ernia L3/L4
2 - Ernia L4/L5
3 - Ernia L5/S1
4 - Ernia L6/S1
2 - Toracica
3 - Cervical
3 - Scoliosi
2 - Scoliosi fino ai 6 anni
7 - Scoliosi all´ etá di 50 anni e piú
C - Corsi
3 - Vari tipi di corsi
3 - Corsi per i pazienti
1 - Ernia L3/L4
B - 1 - 1 -1
Ernia del disco L3/L4